노스캐롤라이나주 번콤 카운티(Buncombe County)에서 수두(Varicella)와 백일해(Pertussis) 환자가 동시에 증가하면서 지역 보건 당국이 경계 수위를 높이고 있다. 특히 학교를 중심으로 한 집단 감염 사례가 잇따르며, 예방접종의 중요성이 다시 강조되고 있다.
번콤 카운티 공중보건국 산하 전염병 관리팀(Communicable Disease Team)은 최근 발표를 통해 “수두와 백일해가 증가세를 보이고 있다”며 “추가 확산 가능성을 예의주시하고 있다”고 밝혔다.
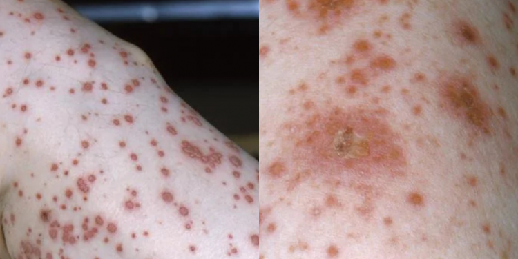
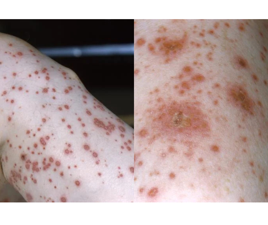
보건 당국에 따르면, 11월 중순 번콤 카운티 서부 지역의 한 사립학교에서 수두 집단 발병이 확인됐다. 해당 학교는 백신 미접종자 비율이 높아 감염이 빠르게 확산된 것으로 파악됐다.
이에 따라 수두에 대한 면역 증명이 없는 학생들은 수 주간 등교가 제한됐으며, 추가 전파를 막기 위한 격리 조치가 시행됐다. 당국은 “12월 10일 기준으로 격리 대상이었던 학생과 교직원 전원이 학교로 복귀했다”고 밝혔다.
수두는 일반적으로 소아에게 비교적 가벼운 질환으로 알려져 있지만, 청소년, 성인, 임산부, 면역저하자에게는 폐렴·뇌염·심각한 피부 감염 등 합병증 위험이 있다는 점에서 주의가 필요하다.
한편, 스완나노아·블랙 마운틴(Swannanoa/Black Mountain) 지역의 공립 고등학교에서는 백일해 관련 사례 17건이 확인됐다. 보건 당국은 해당 감염이 인근 공립 중학교로 확산됐을 가능성도 배제하지 않고 있다.
같은 학교 인구 집단에서는 인플루엔자 A형(독감) 대규모 유행도 동시에 발생해, 학생과 학부모들의 우려가 커지고 있다.
백일해는 초기에는 감기와 유사한 증상을 보이다가, 이후 심한 기침 발작으로 이어지는 세균성 호흡기 질환이다. 특히 영유아에게는 생명을 위협할 수 있는 질환으로 분류된다.
노스캐롤라이나주 보건 당국은 2024년 백일해 환자 수가 지난 70년간 최고치를 기록했다고 밝힌 바 있다. 더욱 우려되는 점은 올해 들어 보고된 환자 수가 이미 작년 전체 수치를 넘어섰다는 것이다.
번콤 카운티를 포함한 인근 여러 카운티에서도 최근 수년간 백일해 증가 추세가 지속되고 있으며, 전문가들은 “백신으로 형성된 면역이 시간이 지나면서 약화되는 특성 때문에 청소년과 성인도 추가 접종(Tdap 부스터)이 중요하다”고 지적하고 있다.
보건 당국은 또 하나의 우려 요인으로 사우스캐롤라이나 업스테이트 지역의 홍역(Measles) 집단 발병을 꼽았다. 해당 지역에서는 현재까지 100건이 넘는 홍역 확진 사례가 보고된 상태다. 홍역은 전염성이 매우 강한 바이러스 질환으로, 예방접종률이 낮은 지역에서는 빠르게 확산될 수 있다는 점에서 지역 간 이동이 잦은 연말·연초 기간 각별한 주의가 요구된다.
번콤 카운티 보건 당국은 주민들에게 MMR(홍역), 백일해, 수두, 독감 등 예방접종이 최신 상태인지를 반드시 확인할 것, 기침, 발열, 발진 등 증상이 있을 경우 학교·직장 등 단체 활동을 자제할 것, 그리고 의료기관 방문 전 사전 연락을 통해 감염 예방 절차를 준수할 것 등을 당부했다.
전문가들은 “최근 감염병 증가 현상은 특정 지역이나 특정 집단만의 문제가 아니라, 백신 접종률 저하와 집단 면역 약화가 맞물린 결과”라고 분석한다.
특히 어린 자녀를 둔 한인 가정과 고령층은 예방접종 기록을 점검하고 필요한 경우 추가 접종을 받는 것이 무엇보다 중요하다는 지적이다. <김선엽 기자>
사진출처: CDC제공



